“这1年来,我的两边髋关节走起路来总是特别疼痛, 右腿不仅疼痛明显而且还变短了,走路的时候一瘸一拐,也蹲不下来,严重影响了我的生活,最近越来越痛,我现在已经走不了路了。”在番禺区第二人民医院骨一科病房里,周先生(化名)愁容满面,稍微行走几步都痛得龇牙咧嘴的。

患者周先生,今年56岁,约1年前开始出现逐渐加重的双侧髋部疼痛,现在疼痛已经让他无法正常行走了。为求进一步治疗,慕名来到番禺区第二人民医院骨一科专家门诊向韩学明主任求诊。
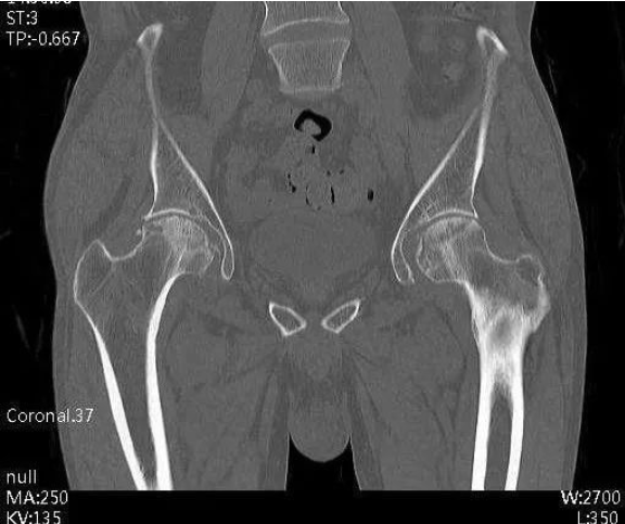
入院后,通过完善X线片、三维CT、MR等相关检查。发现周先生双侧股骨头坏死,尤其右侧股骨头严重变形,相关检查结果提示周先生的股骨头坏死已非常严重,双侧均达到Ficat分期Ⅳ期,右下肢较对侧缩短2cm。双侧髋关节旋转活动受限,右侧髋关节活动受限较重,双侧“4”字试验(+)。

术前DR

术前CT

术前MR
韩学明主任带领团队成员仔细分析周先生的病情,制定治疗方案。“本例患者双侧股骨头缺血性坏死诊断明确,周围骨质增生,髋关节侧磨损严重,建议行全髋关节置换手术治疗,虽然手术难度大、风险高,但如果对患者采取保守治疗,疼痛症状较难缓解,难以恢复正常行走,非常影响生活质量。”
韩主任向周先生及家属说明治疗方案,他们表示理解也积极支持手术。完善术前准备后,韩主任手术团队为周先生行右侧人工全髋关节置换术。手术耗时约2个小时,术中截除坏死的股骨头并植入髋关节假体后,髋关节被动活动良好,手术顺利完成。


术后第二天复查,假体位置良好
术后第二天,周先生感觉良好,已经开始在康复师指导下,进行卧床屈伸功能康复锻炼了。
术后第5天,周先生在助行器的辅助下开始下床行走。他们一家对手术效果非常满意,还送来一面书写着“医德高尚 技术精湛”的锦旗以表感谢。


科普知多点
股骨头缺血性坏死是公认的一大疑难疾病,它严重危害人类的健康,大部分患者在出现髋关节疼痛的同时,逐渐丧失关节活动及行走功能,影响生活质量。据统计,我国的股骨头坏死患者有750~1000万左右,每年新增病例高达30万,多见于30~50岁人群,约有半数累及双侧股骨头。

股骨头坏死完整的医学名称是股骨头无菌性坏死,或股骨头缺血性坏死,由名字可以知道,股骨头的坏死最终是由缺血引起的,医学解释是由于多种原因导致的股骨头局部血运不良,从而引起骨细胞进一步缺血、坏死、骨小梁断裂、股骨头塌陷的一种病变。

发病机制
一、股骨头坏死的病因
股骨头坏死的病因主要有两大类:
创伤性: 由于髋部外伤后,股骨头或股骨颈颈骨折,髋关节骨折或脱位,或既没有骨折,又没有脱位的血管支损伤,均可造成股骨头局部缺血,进一步发展为坏死。
非创伤性:
1、长期或大量应用糖皮质激素占43%
2、酒精中毒
3、减压病:潜水、飞行人员在高压情况下,血液和组织中溶解的氮增加,环境压力降低时,已溶解的超量氮需逐渐经由肺部排出,若压力降低过快,氮气来不及排出,即在体内游离出来,形成气泡,产生气体栓塞,气体栓塞在血管,血流受阻,股骨头局部血供变差,缺血坏死
4、其他 :高血压、糖尿病、动脉硬化、肥胖症、痛风、放射治疗、烧伤后,也可造成股骨头坏死
二、股骨头坏死的治疗
1、非手术治疗:主要针对早期股骨头缺血性坏死,目前建议选用抗凝、增加纤溶、扩张血管与降脂药物联合应用;也可联合应用抑制破骨和增加成骨的药物。其余非药物治疗包括物理治疗(包括体外冲击波、电磁场、高压氧等)保护性负重,制动与牵引等疗法。
2、手术治疗:股骨头坏死进展较快,非手术治疗效果不佳,多数患者需要手术治疗。手术方式包括修复并保留患者自身股骨头为主的保髋手术和人工髋关节置换术两大类。
保留股骨头的手术包括髓芯减压术、截骨术、自体骨移植术等,适用于股骨头坏死早中期者。如果方法有效,可避免或推迟人工关节置换术。

髋关节置换流程
骨一科专家介绍

韩学明
骨科副主任医师
骨一科学科带头人
·广东省卫生经济学会中医药分会常委
·广东省运动医学会委员
·广东省基层医药学会创伤救治专业委员会委员
·广州市脊柱外科分会常委
中共党员,1997年石河子大学本科毕业,学士学位;2011年新疆医科大学硕士学位结业。
从事骨科专业20余年,先后在北京大学人民医院、青岛大学附属医院、山东省立医院深造学习脊柱关节外科,擅长关节、脊柱疾病诊治,擅长对股骨头坏死、膝骨关节炎、颈椎病、腰间盘突出、腰椎管狭窄、腰椎不稳等疾病进行阶梯个性化治疗。常规开展人工髋、膝关节置换术、脊柱开放减压融合内固定手术,熟悉开展关节镜下半月板缝合、交叉韧带重建、椎间孔镜下椎管减压、椎间盘摘除等微创手术。
注重病人的疼痛管理,积极倡导及创建无痛病房。在国家级、省级专业杂志发表10余篇专业论文,SCI发表1篇。主持和参加省级、市级科研课题10余项。
骨一科专家出诊时间
地点:
门诊大楼3楼骨科3号诊室
时间:
韩学明副主任医师
每周三全天
骨一科门诊咨询电话:
020-32653119